
A tanulmányt az Oral Nicotine Commission készítette, egy nemzetközi, független szakértői testület, amely a dohányzás kockázatcsökkentésével és az orális nikotintermékek közegészségügyi szerepével kapcsolatos tudományos bizonyítékok elemzésére és bemutatására fókuszál, megismertetve a dohányzás káros hatásait.

A testület tagjai nemzetközileg elismert szakemberek a közegészségügy, az orvostudomány, az addiktológia és az egészségpolitika területéről. Az Oral Nicotine Commission munkája során a tudományos kutatásokra, klinikai adatokra és nemzetközi tapasztalatokra támaszkodva vizsgálja a füstmentes nikotintermékek potenciális szerepét a dohányzás okozta ártalmak mérséklésében, a teljes leszokás elsődlegességének elismerése mellett.
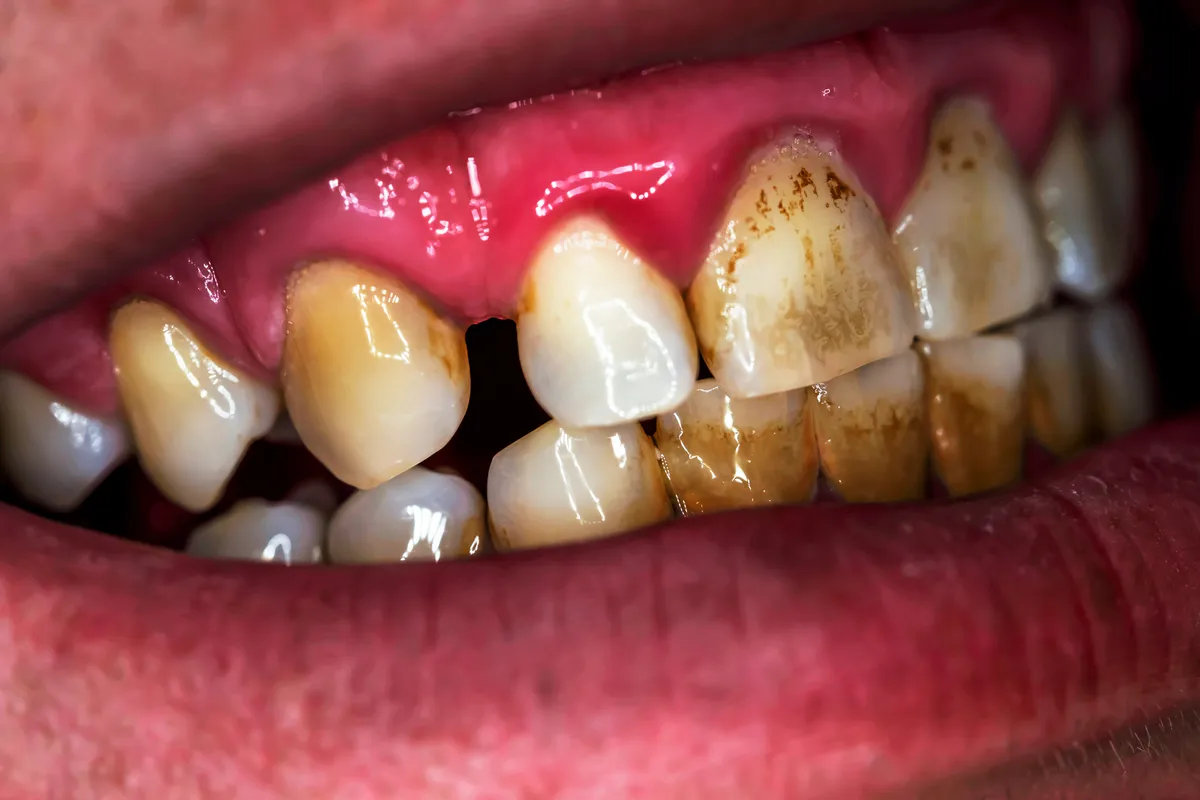
A szájüreg állapota nemcsak funkcionális kérdés, hanem közvetlen hatással van az életminőségre és az általános egészségi állapotra is. Az orális betegségek világszerte mintegy 3,5 milliárd embert érintenek, ezzel az egyik leggyakoribb egészségügyi problémát jelentik. A tanulmány adatai szerint világszerte 1,27 milliárd ember használ nikotintermékeket, túlnyomórészt a hagyományos, a dohány égésével járó megoldásokat, mint a cigaretta. Ez jelentős mértékben hozzájárul a szájüregi betegségek kialakulásához, különösen a fogágybetegségekhez és a szájüregi daganatokhoz.
A dohányzás káros hatásai elsősorban a dohány égése során keletkező toxikus és potenciálisan rákkeltő anyagoknak tulajdoníthatók, amelyek közvetlenül károsítják a szájnyálkahártyát és a fogágy szöveteit.
A dohányzó populációban a szájüregi betegségek nemcsak gyakoribbak, hanem súlyosabb lefolyásúak is, és nagyobb eséllyel vezetnek maradandó egészségkárosodáshoz vagy daganatos megbetegedésekhez.
A dohányfüstben található toxikus és potenciálisan rákkeltő anyagok közvetlenül érintkeznek a szájnyálkahártyával, az ínnyel és a fogággyal, ami:
A dohányzás következtében kialakuló szájüregi betegségek gyakran súlyosabb lefolyásúak, nehezebben kezelhetők, és jelentősen rontják az érintettek életminőségét.

A tanulmány egyik központi megállapítása, hogy a dohányzás egészségkárosító hatásainak döntő része nem magához a nikotinhoz, hanem a dohány égése során keletkező toxikus és potenciálisan rákkeltő anyagokhoz köthető. A füst tartalmazza azokat az összetevőket, amelyek a legnagyobb mértékben felelősek a szájüregi szövetek károsodásáért.
A nikotinnal kapcsolatban széles körben elterjedt félreértések élnek mind a lakosság, mind az egészségügyi szakemberek körében, mivel a nikotint azonosítják a dohányzás okozta károkkal, így a füstmentes alternatívák potenciális szerepe nem jelenik meg érdemben sem a prevenciós stratégiákban, sem a klinikai gyakorlatban.
A dohányzás kockázatcsökkentésének szélesebb körű elfogadottságához elengedhetetlen a nikotinnal kapcsolatos tudományos tények pontosabb kommunikációja, valamint annak egyértelmű elkülönítése, hogy az orális egészség szempontjából a legnagyobb kockázatot az égéssel járó dohányhasználat jelenti, a nikotin pedig nem rákkeltő.
Mivel a legtöbb dohányos nem képes azonnal leszokni, ezért kell, hogy olyan megoldások is elérhetőek legyenek, amelyek csökkentik a dohányzásból eredő ártalmakat azok körében, akik továbbra is nikotint használnak. Ebben a keretben jelennek meg a füst nélküli nikotintermékek mint átmeneti vagy tartós megoldások.
A kockázatcsökkentés integrálása a dohányzásellenes stratégiákba lehetőséget ad arra, hogy:
A tanulmány külön fejezetben mutatja be a SMILE elnevezésű, több országra kiterjedő randomizált klinikai vizsgálatot, amely korábban cigarettázók füstmentes alternatívára való áttérése során vizsgálja az orális egészségi paramétereinek változását.
A jelentés szerint ezekben a vizsgálatokban:

A tanulmány több ország példáján keresztül mutatja be a dohányzás kockázatcsökkentésének lehetséges hatásait. Svédország részletesen elemzett esettanulmányként szerepel, ahol a hagyományos dohányzás visszaszorulása és a füstmentes nikotintermékek (különösen a nikotinpárna használat) elterjedése alacsony dohányzási aránnyal és kedvező száj- és szájüregi egészségügyi mutatókkal társul.
Az orális nikotintermékek a tanulmányban bemutatott ártalomkontinuum ábra szerint nagyságrendileg alacsonyabb egészségügyi kockázatot jelentenek, mint a cigaretta: a jelentés megfogalmazása szerint akár mintegy 98%-kal kevésbé ártalmasak, mint a hagyományos dohánytermékek.
Az orális egészségügyi szakemberek gyakran az elsők, akik észlelik a dohányzás kezdeti vagy korai következményeit, például fogelszíneződést, rossz leheletet, ínygyulladást vagy parodontális elváltozásokat. Ezek a jelek sok esetben megelőzik az egyéb, súlyosabb egészségkárosodásokat, így az orális egészségügyi szakemberek kulcsszerepet játszhatnak a megelőzésben.
Az egészségügyi szakemberek rendszeres betegvizsgálatai során képesek azonosítani a dohányhasználatot, beleértve az égéssel járó és a füstmentes termékek használatát is. A jelentés szerint ez az első, nélkülözhetetlen lépés a célzott tanácsadás és intervenció irányába. A szakemberek szerepe nem merül ki a leszokás ösztönzésében, hanem hiteles forrásként szolgálhatnak a páciensek számára a dohányzás kockázatairól, valamint azokról az alternatívákról, amelyek csökkenthetik az orális egészségre gyakorolt ártalmakat is.
Összegzés
A jelentés fő üzenete szerint az orális egészség javítása érdekében új szemléletre van szükség. A teljes leszokás továbbra is a legkedvezőbb kimenetel, azonban a füstmentes alternatívák alkalmazása azok számára, akik nem tudnak leszokni, érdemi egészségnyereséget hozhat. A dohányzás kockázatcsökkentésének integrálása hozzájárulhat az orális betegségek visszaszorításához és az életminőség javításához.
Ezek a cikkek is érdekelhetnek:



Portfóliónk minőségi tartalmat jelent minden olvasó számára. Egyedülálló elérést, országos lefedettséget és változatos megjelenési lehetőséget biztosít. Folyamatosan keressük az új irányokat és fejlődési lehetőségeket. Ez jövőnk záloga.