A 11 éves Lívia ritka genetikai betegséggel küzd. Az üvegcsontú kislány csontjai könnyen törnek, jelenleg nem tud önállóan járni és műtét vár rá. A Hajdú-Bihar vármegyében, Egyeken élő család szinte egyszerre kapott két sokkoló diagnózist.

"Livi teljesen problémamentes terhességből, a 40. héten született. Minden rendben volt a szülésnél is és semmi nem utalt arra, hogy bármilyen betegségben szenvedne" – kezdte a Borsnak Lívia anyukája Ádámné Csernák Anita.
13 hónapos korában, amikor járni tanult, elesett az udvaron. Nagyon sírt, éreztem, hogy nagy a baj. Mentőt hívtunk, és mentőhelikopterrel vitték kórházba
– mondta az anyuka.
Kiderült, hogy Líviának eltört a combcsontja.
Nem akartuk elhinni. Azt mondták, ritka, de előfordul, más gyerekkel is megesik. Aztán három hónappal később, újra elesett és a másik combja tört el, akkor már műteni kellett. Ekkor mondta ki először egy mentős orvos: „Lehet, hogy a kislány üvegcsont betegségben szenved?” Próbáltuk elhessegetni a gondolatot, úgy hittük, hogy ez csak örökletesen fordul elő és akkor még nem tudtunk ilyen esetről a családban
– folytatta az édesanya.
Lívia másfél éves volt, amikor a genetikai vizsgálat megállapították a ritka genetikai betegséget: I-es típusú Osteogenesis Imperfecta, köznyelvben üvegcsontúság. Pár hónappal később a kislány apukájánál is diagnosztizálták ugyanezt a betegséget.
"Az apukája 27 éves volt, amikor ez kiderült, addig senki nem sejtette. A két diagnózis teljesen letaglózott minket. Egy világ omlott össze akkor bennünk. Nem elég, hogy a gyermekünk beteg, de a férjem is. Tudtuk, hogy ez a betegség fájdalommal és sok szenvedéssel jár. Nem tudtuk, hogyan tovább, de szerencsére a családunk mindig mellettünk állt, akkor is és most is. Így valahogy átvészeltük azt az időszakot" – mondta Anita.

Lívia a nehézségei ellenére életvidám lány, imádja a zenét és a divat, valamint a lakberendezés is érdekli. Annak ellenére, hogy nagy fájdalmai vannak, folyamatosan törnek a csontjai és műtéteken esik át tele van tervekkel. Nagy álma, hogy újra járni tudjon.
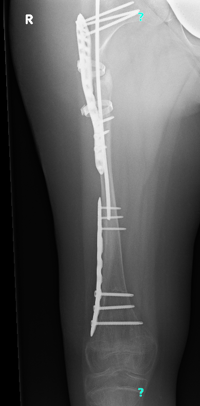
Még mindig lábadozik a júniusi műtétje után, ami sajnos nem a tervek szerint alakult. Egy egyszerű fémcserére készültünk, de végül öt és fél órás, nagy beavatkozás lett belőle. A műtőasztalon, minden óvatosság ellenére, két helyen tört el a combcsontja az orvos kezében. Most lemezek és csavarok tartják össze a lábait. A másik combja is rossz állapotban van, így újabb műtét vár rá.

Az anyuka minden percét a kislánya mellett tölti, hogy ápolja.
A legnehezebb az, hogy nap mint nap látnunk kell Livi fájdalmát és küzdelmét. Nehéz elfogadni, hogy nem tud iskolába járni, mint a társai, hogy kimarad a gyerekkori élményekből. Futni sosem tanult meg. Mégis ő az, aki mindig mosolyog, tele van életkedvvel és akaraterővel. Mindig kitalál magának valamit, sosem unatkozik és ez ad nekünk is erőt minden egyes nap
– mondta a 35 éves Anita kiemelve: rengeteget jelent számukra a közösség támogatása is. A helyiek, a tanárai, az ismerősök mind próbálnak segíteni, amiért nagyon hálásak.
- Most is szervezés alatt áll egy jótékonysági sütivásár, ami nemcsak segítséget nyújt, de összehozza a közösséget is. Livi már készül, hogy egy kis ajándékkal viszonozza a szeretetet - mondta az anyuka.

"Neki sem könnyű, hiszen tinédzserkora óta járóbottal közlekedik, hogy tehermentesítse a lábát, amit egy általános iskolai baleset miatt már többször operáltak" – mesélte Anita. A 36 éves apuka sok műtéten esett át és most egy újabb vár rá. A csontjai nem gyógyulnak megfelelően, a csontszövet elkezdett felszívódni. István elektronikai technikusként dolgozik, emellett a Miskolci Egyetem Gépészmérnöki és Informatikai Karának végzős villamosmérnök hallgatója, ám a család megélhetése most veszélybe került. Nem tudni ugyanis, hogy az újabb műtét után mikor épül majd fel.
IDE kattintva megtudhatod, hogyan segíthetsz a családnak.
Portfóliónk minőségi tartalmat jelent minden olvasó számára. Egyedülálló elérést, országos lefedettséget és változatos megjelenési lehetőséget biztosít. Folyamatosan keressük az új irányokat és fejlődési lehetőségeket. Ez jövőnk záloga.